Detection and identification of plasmodiums on microscopic images

Type
Doctoral project
Start date
1 Oct 2020
End date
30 Sep 2023

Detection and identification of plasmodiums on microscopic images

Start date
1 Oct 2020
End date
30 Sep 2023
Type
Doctoral project

Explore several approaches combining machine learning and image processing for modeling an automatic malaria diagnostic system on microscopic images of blood drops.

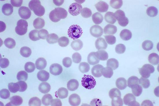
The diagnosis of imported malaria (4 to 5000 cases per year in France) requires the 24/7 mobilization of experienced biologists who must make a diagnosis on the microscopic examination of a blood smear in search of the parasite called Plasmodium. The main difficulties encountered so far in automating the reading of blood smears are the time needed to acquire and process the microscopic images, the consideration of artifacts likely to induce diagnostic errors and the diversity of morphological aspects related to the species and stages of parasites likely to be found on a blood smear. The objective set here is to explore several approaches combining machine learning and image processing for the modeling of a rapid and reliable system, allowing an automatic diagnosis of malaria on microscopic images of smears or thick blood drops. In this study, the methodological and technical approach differs from the usual learning and classification tasks, the nature of the data being very different in our case. Initially, a first reflection on segmentation techniques will allow to individualize and extract the complex regions of interest within the microscopic images. The choice of an optimal image descriptor will influence the final results in terms of recognition as well as the capabilities of the system to generalize on morphologically heterogeneous objects; these depend on many parameters and experimentation factors (microscopic sources, applied zoom, angle of capture and colorations used). A second reflection will focus on image analysis and the classification of isolated regions of interest (healthy or parasitized red blood cells, staining spots, white blood cells, artifacts), this one consists in exploiting the contribution of convolution neural network (CNN) learning methods to the characterization and recognition of plasmodiums. The constitution of a database of images collected prospectively by the National Reference Centre for Malaria Importation based at the Pitié-Salpêtrière will be used for this task.

 

PhD student: Aniss Acherar

PhD supervisor: Renaud Piarroux

Research laboratory: IPLESP - Institut Pierre Louis d’Epidémiologie et de Santé Publique